Söke'de yaşayan yabancı uyruklu E.E (18), yemek çatalı yuttuğu şikayetiyle ambulansla Aydın Adnan Menderes Üniversitesi (ADÜ) Hastanesine getirildi.
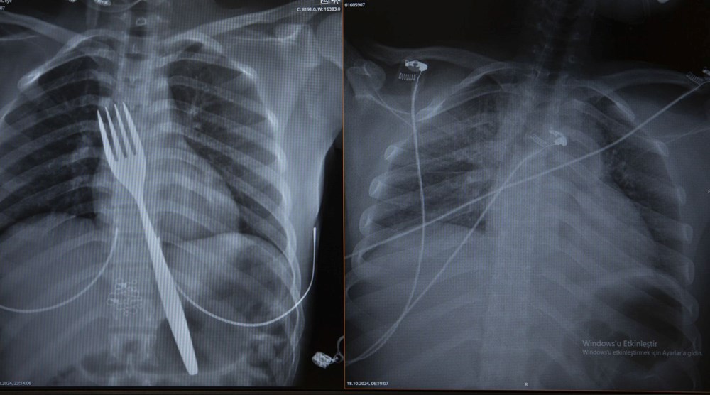
Burada röntgeni çekilen hastanın yemek borusunda 18 santimlik çatal olduğu tespit edildi.

Uzmanlar endoskopi yaparak çatalı ağızdan çıkarmayı denedi. Fakat yemek ve soluk borusuna zarar verme ihtimalinden dolayı midenin kesilerek çatalın çıkarılmasına karar verildi.
ADÜ Tıp Fakültesi Göğüs Cerrahisi Ana Bilim Dalı Öğretim Üyesi Dr. Salih Çokpınar ve Genel Cerrahi Ana Bilim Dalı Dr. Öğretim Üyesi Akay Edizsoy koordinasyonundaki operasyonla midede kesi açılarak çatal çıkarıldı. Bir süre yoğun bakımda kalan hasta, durumunun iyiye gitmesinin ardından servise alındı.

Dr. Edizsoy, bozuk para, toplu iğne ve çivi gibi küçük cisimlerin yutulduğuna dair vakaların sık görüldüğünü ancak çatal gibi büyük bir cismin yutulması vakasıyla çok nadir karşılaştıklarını söyledi.
Vakayı ilk duyduğunda şaşırdığını anlatan Edizsoy, "Büyük bir çatalın tamamen yutulması şeklinde ortaya çıkan bu vakayı ilk duyduğumda doğru olmadığını düşündüm. Hasta 18 yaşında ve yabancı uyrukluydu. Türkçesi biraz zayıf olduğu için belki de yanlış anlaşılmalar olabileceğini düşündük. Ama hastanın filmini çektiğimizde gerçekten bir çatalın yemek borusunda olduğunu gördük." dedi.

Bu vakayı bilim dünyasına da sunacaklarına söyleyen Edizsoy, "Yabancı cisim yutulmasıyla ilgili birçok vaka var literatürde ama bunun gibi sıra dışı cisimler çok fazla yok. O yüzden biz bilimsel olarak da bunu diğer meslektaşlarımızla paylaşmayı düşünüyoruz. Bu konuda bir makale yazacağız." ifadesini kullandı.
Edizsoy, hastanın sağlık durumunun iyi olduğunu aktararak, hayati riskin yüksek olmasına rağmen kötü bir sonuç gelişmeden hastanın iyileşmesinin kendilerini mutlu ettiğini sözlerine ekledi.






